holes in the ground once marked “resource-rich” (_quarry, mine_),
holes that perforate marble and limestone for systematic removal (_drill, core_);
holes that are filled back up with industrial contaminants or municipal solid waste (_landfill, dump_),
holes that show up as piles elsewhere (_deep excavation, tailing_);
holes that render high-quality lumber unusable and therefore, waste (_knot, crack, chip,_ _defect_);
holes in the accounting spreadsheets and toxicity reports of corporations;
holes in the wages and physical bodies of workers in construction, demolition, and waste management, invisible figures who are continually exhausted and rendered expendable under capitalism…
Construction has long been considered a growth industry, where building materials are consumed as if they were on-demand and infinite in supply. Yet the size of our holes keep growing: these long-obscured peripheries of material and labor extraction that can no longer be kept out-of-sight, out-of-mind. The reader may find that some of the documents in this file come with their own perforations and punctures. These cuts are made deliberately in an effort to reflect the numerous redactions of material life in their one-way anthropogenic transformation into resource, property, and waste. How big must these voids of extraction and consumption grow, before the construction and raw material industries pivot to more renewable and circular alternatives?

Deep section drawings trace common building products to their geological origins and systems of extraction. From Amelyn Ng, Gabriel Vergara, and Christine Giorgio, _Planetary Home Improvement: From Just-in-time to Geological Time_, exhibition, VIPER Gallery, Prague, 2021-22.

When there is a hole, there is a pile elsewhere. Diagram by Hélène Frichot, from Hélène Frichot, Dirty Theory: Troubling Architecture, 2019.[](https://issuu.com/aadr_publishing/docs/dirty_theory_-_frichot_-_leseprobe)

Visible drill-holes perforating the rock faces of the Ross Marble quarry in Knoxville, Tennessee, a former limestone quarry now known as the Ijams Nature Center. By the 1850s, the varicolored marbles in these East Tennessee quarries were sought after by architects and patrons, contributing to major industrial growth in the region. The limestone quarried from this site were used in the construction of the Morgan Library (1906) and the National Gallery of Art (1941), among other major public buildings. Photo by Amelyn Ng.

Waste limestone blocks form a rock wall at the former Ross Marble Quarry in Knoxville, Tennessee. Quarrying not only produces predictable units of stone for sale, but also leaves behind a rubble-pile of “undesirable” rock left on site, an inverted geology of castoffs unable to be returned to the earth. Photo by Amelyn Ng.


Contact sheets visualizing some of the largest iron ore mines and stone quarries in the world. Images from Google Earth. Data from: https://www.mining-technology.com/marketdata/ten-largest-iron-ores-mines/

“Holes” arise when tracing global networks and actors of architectural labor. Who is involved and who is responsible for upholding ethical labor standards for these high-profile building projects? Image by WBYA? (Who Builds Your Architecture?) and Graph Commons.

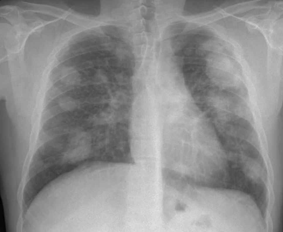
The mottled lung of a Birmingham coal miner. Image from Wikimedia Commons https://en.wikipedia.org/wiki/Black_lung_disease
_Silicosis. Pneumoconiosis. Fibrosis. Black lung disease._ When minerals such as marble, granite, coal, and sand are extracted, transported, and refined, they release loose particulate matter — dust — that can cause irrevocable scarring in the lungs. Lesions appear as white occlusions in x-rays and CT scans, coalescing in the void of lung space. Once inhaled, the dusts of extraction can never be expelled.
The remineralization of rock strata deep within workers’ bodies should not be classified as just another “occupational hazard,” but as a form of slow violence. By perforating the earth’s finite geological crust, we are also simultaneously rupturing the lungs of miners, construction workers, tunnel drillers, sandblasters, quarry and foundry workers, stone carvers and polishers, ceramics workers, and brick workers. Some things should be left in the ground.

The lung x-ray of a worker who has silicosis with massive fibrosis. Source: https://en.wikipedia.org/wiki/File:Silicosis_complicada.jpg

3D scans of hole-y scrap wood, retrieved from the scrap from an otherwise high-quality batch of 18th century reclaimed hardwood floorboards. Knots, cracks, chips, and veins are usually considered product defects unfit for sale, while "exit holes" caused by wood-boring beetles damage structural lumber and can result in widespread forest death even before wood is harvested. Climate change has contributed significantly to beetle epidemics, which may over time limit the ability for forests to store atmospheric carbon.

This pile represents an excavated hole in a construction site somewhere in New York City. The Clean Soil Bank is a municipal stockpile in Brooklyn where building developers may choose to deliver uncontaminated native glacial soils rather than trucking them out to be dumped in New Jersey or Philadelphia. Photo by Christine Giorgio for the exhibition project _D.E.P.O.T. / Gross Domestic Practices,_ September 2023, by Amelyn Ng, Gabriel Vergara, and Christine Giorgio. https://depot.directory/
Post Notes
Amelyn Ng is a Singaporean-Australian architect and Assistant Professor at RISD Architecture in Providence, Rhode Island. She was previously a Wortham Fellow at Rice Architecture in Houston. Working in research, drawing and exhibitions, across scales and between digital and physical mediums, Ng explores architecture as media and environmental matter as information. Her work seeks counter-narratives and alternative representations to architecture's status quo, particularly around climate and social questions. She is also a sometimes-cartoonist.

).avif)







(2)Large.avif)











